Neurochirurgie

Kontakt

Fragen zu Ihrem Tier oder Patienten beantworten wir gerne.

Kontakt: neurochirurgie@kleintier.de oder l.matiasek@lmu.de

Leistungen

Neurochirurgie I © Kleintierklinik der LMU

Die Neurochirurgie umfasst Erkrankungen des Gehirns und knöchernen Schädels, des Rückenmarks/ der Wirbelsäule und der peripheren Nerven. Die Befunde der neurologischen Untersuchung bilden die Grundlage für die weiterführende Diagnostik. Im Bereich der Neurochirurgie stellt dies vor allem die Magnetresonanztomographie (MRT), die Computertomographie (CT) sowie ggf. die Muskel-/Nervenbiopsie (nach EMG/ Elektrodiagnostik) dar.

Überblick Diagnostikmöglichkeiten und neurochirurgische Versorgung:
Diagnostik:

  • Röntgen
  • MRT (1,5 Tesla)
  • CT (64-Zeiler)
  • Muskel-Nervenbiopsie nach Elektrodiagnostik
  • Gehirnbiopsie

Neurochirurgische Versorgung bei Wirbelsäulen-/ Rückenmarks und Nerven(wurzel)-Erkrankungen:

  • Bandscheibenvorfall (Halswirbelsäule, Brust-/Lendenwirbelsäule)
  • Degenerative lumbosakrale Stenose (Cauda-Equina-Kompressionssyndrom)
  • Zervikale Spondylomyelopathie (Wobbler-Syndrom)
  • Subarachnoidaldivertikel, Zysten
  • Instabilität (Trauma: Fraktur, Luxation), angeborene Erkrankungen (Subluxation: Atlantoaxiale Instabilität, Fehlbildungen der Wirbelsäule)
  • Tumoren

Neurochirurgische Versorgung bei Gehirnerkrankungen/ Erkrankungen des knöchernen Schädels:

  • Hydrocephalus (Wasserkopf)
  • Missbildungen im Bereich des Schädels und der vorderen Halswirbelsäule (zB Chiari-ähnliche Malformation)
  • Subarachnoidal-Zysten
  • Tumoren im Bereich des Gehirns (Resektion zB Meningiom Katze, Zytoreduktion) oder knöchernen Schädels (Multilobuläres Osteochechondrosarkom)
  • Hypophysektomie
  • Versorgung kompressiver Frakturen nach Schädel-Hirntrauma

OP-Mikroskop in der Neurochirurgie | © Kleintierklinik der LMU

Der Einsatz unseres hochmodernen neurochirurgischen Operations-Mikroskops ermöglicht auch bei komplexen neurochirurgischen Eingriffen eine optimale Visualisierung und präzisestes neurochirurgisches Vorgehen. Insbesondere bei Eingriffen am Kopf erfolgt bei Bedarf eine entsprechende Rekonstruktion durch Titan-Netze. Sofern bei stabilisierenden neurochirurgischen Eingriffen nötig, bieten wir die operative Versorgung mittels individualisierten Titan-Implantaten an.

Eine enge Zusammenarbeit mit unserem erfahrenen Anästhesieteam und unseren intensivmedizinischen Spezialisten erlaubt eine optimale peri- und postoperative Betreuung. Bei entsprechenden Fragestellungen unterstützt uns unser onkologisches Team, und Hypophysektomie-Patienten werden vor und nach der Operation durch unsere Endokrinologie-Abteilung mitbetreut. Jeder postoperative neurochirurgische Patient wird individualisiert durch unser Team für Physiotherapie und Rehabilitation begleitet.

Erläuterungen zu neurochirurgischen Fragestellungen und Beispiele aus der Neurochirurgie:

Bandscheibenvorfall bei einem Hund I © Kleintierklinik der LMU

Die häufigsten neurochirurgischen Erkrankungen beim Hund sind Bandscheibenvorfälle. Diese können jedoch auch bei Katzen auftreten. Zur Diagnosesicherung wird hierfür in der Regel eine MRT als sensitivste Methode durchgeführt. An einem Bandscheibenvorfall erkrankte Tiere werden, sofern der Vorfall das Rückenmark komprimiert, überwiegend durch einen operativen Eingriff behandelt.

Frakturen im Bereich der Wirbelsäule bedürfen meist ebenso einer chirurgischen Versorgung, da es sonst zu einer Schädigung des Rückenmarks mit bleibenden neurologischen Ausfällen kommen kann. Dies wird in der Regel durch spezielle Schrauben, Knochenzement und / oder Platten bewerkstelligt.

Auch andere Wirbelsäulenerkrankungen, die das Rückenmark durch Instabilität oder Kompression beeinflussen, werden je nach Indikationsstellung neurochirurgisch entsprechend versorgt (z.B. Degenerative lumbosakrale Stenose, Zervikale Spondylomyelopathie, Atlantoaxiale Instabilität und andere Mißildungen). Bei Bedarf kommen auch individualisierte Implantate zum Einsatz.

Rückenmarkstumor bei einem Hund, © Kleintierklinik der LMU

Zudem werden Rückenmarkszysten (wie z.B. Subarachnoidaldivertikel) und bestimmte Tumoren im Bereich der Wirbelsäule/Rückenmarks und peripheren Nerven (Plexustumoren) operativ behandelt.

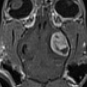
Gehirntumor (Meningiom) bei einer Katze I © Kleintierklinik der LMU

Desweiteren werden Tumorentfernung im Bereich des Gehirns (zB Meningiom Katze) oder Tumorbiopsie/- verkleinerung (sofern nicht resizierbar) durchgeführt, um nach einer histologischen Diagnosestellung adäquate weitere Therapieempfehlungen (meist Bestrahlung) zu geben.

Zukünftig bieten wir auch die sogenannte Hypophysektomie (Entfernung der Hirnanhangsdrüse) an, wenn diese tumorös verändert ist um so auch bestimmte Hormon-Erkrankungen wie M. Cushing beim Hund oder insulinresistenten Diabetes mellitus bei der Katze zu therapieren.

Ventrikuloperitonealer Shunt bei einem Hund mit Hydrocephalus I © Kleintierklinik der LMU

Operative Eingriffe am Gehirn beinhalten weiterhin die Implantation eines sog. Shunt-Systems bei Hydrocephalus (Wasserkopf).

Individualisiertes Titanimplantat bei Instabilität durch multiple Missbildungen, © Kleintierklinik der LMU

Ebenso sind operative Versorgung bestimmter Mißbildungen im Bereich des Schädels und der vorderen Halswirbelsäule (z.B. Chiari-ähnliche Malformation) und andere knöcherne Missbildungen möglich. Auch zystische Veränderungen im Bereich des Gehirns werden entfernt oder drainiert.

Bei Verdacht auf entzündliche Veränderungen kann je nach Lokalisation im Gehirn eine Gewebeprobe entnommen werden (Gehirnbiospie), um eine adäquate medizinische Therapie anzuschließen. Zudem bieten wir eine neurochirurgische Versorgung von kompressiven Schädelfrakturen nach Trauma an.